人Jak/Stat信号通路基因检测试剂盒
产品名称:人Jak/Stat信号通路基因检测试剂盒
货号:LJS-SP711
保存条件:避光,-20℃,保质期2年
注:本试剂盒仅适用于科学研究,不得用于临床

Jak/Stat Signal Pathway specific primers

产品简介
Jak和Stat是许多细胞因子受体系统的重要组成部分;其作用是调节生长、存活、分化以及抗病原性。
磷酸化的Stats二聚化并转运入胞核,调节靶标基因的转录活动。细胞因子信号转导抑制因子 (SOCS) 家族的成员通过同源或异源反馈调节来抑制受体信号转导。
Jak/Stat通路介导的细胞因子效应,如红细胞生成素、血小板生成素以及粒细胞集落刺激因子 (G-CSF),可作为蛋白药物分别治疗贫血、血小板减少症,以及中性粒细胞减少症。该通路也可以通过干扰素介导信号转导,用作抗病毒和抗增殖剂。细胞因子信号转导失调可促发癌症。IL-6信号转导异常参与了自身免疫疾病、炎症和部分癌症(如前列腺癌和多发性骨髓瘤)的发病机理。目前Jak 抑制剂在多发性骨髓瘤模型中进行测试。Stat3可充当一种致癌基因,并在许多肿瘤中持续激活。
此外,在人类血液恶性肿瘤中,Jak突变激活为主要分子事件。

信号通路基因检测试剂盒系列产品,是灵思生物开发的一套稳定、可靠、高效的用于基因表达量检测的科研产品。人Jak/Stat信号通路基因检测试剂盒产品能够快速高效的对人源Jak/Stat信号通路相关基因定量检测分析。与传统的检测分析方法相比,灵思生物信号通路基因检测试剂盒的优势在于:其包含全部经过验证的特异性引物、第一链cDNA合成及Real Time RT-PCR所需的各种酶、buffer等组分,使客户能够更加快捷,方便的进行相关基因表达量分析研究。
产品特色
1.自主设计验证的引物库
灵思生物拥有自主设计并实验验证的引物库,涵盖人、大鼠、小鼠、兔、猪等多个物种的数万个相关基因。包含经验证的引物设计,不仅极大的节省了宝贵的科研时间,而且使本试剂盒在人源Jak/Stat信号通路相关基因定量检测分析时更加可靠、有效。
2.多重保障的可靠性
首先,灵思生物所使用引物参考序列来源可靠,主要来源为Ensembl及NCBI数据库,然后通过Meg Align分析比对后选取出保守的最佳扩增区域,最后是跨大内含子设计引物和gDNA Remover组分的引入,进一步提高了检测结果的可靠性。
3.令人惊叹的检测灵敏度及特异性
引物设计充分考虑多种影响扩增效率及特异性因素,不仅能同时适应高、低拷贝数,50copies模板时,熔解曲线峰图仍为特异性单一峰,反映了本试剂盒的高灵敏度及特异性。
4.特别优化的反应体系及条件
此外,灵思生物特别优化设计的基因检测试剂盒,还特别优化了第一链cDNA合成条件、QPCR反应体系等,使用优化的反应体系和条件能够更轻松的获得理想的检测分析结果。
实例展示
以下实验结果图,是以本试剂盒对Jak/Stat信号通路相关基因定量检测分析后得到。
picture1:通过扩增曲线图可以看出,使用本试剂盒成功检测出Jak/Stat信号通路的7个靶基因。
picture2:7对检测引物扩增产物的熔解曲线峰图均为特异性单峰。
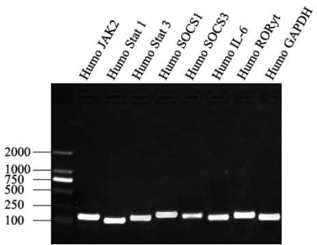
picture3:人Jak/Stat信号通路中7个靶基因的QPCR产物的琼脂糖凝胶电泳图。图片显示各引物的扩增产物均为单一条带。
▼pictcure1

▼picture2

▼picture3

技术咨询:2501054135
投诉建议:316202613